お悩みの原因を探り、
根本解決へみちびくお子様から大人の方まで
安心して通える南森町の歯医者です
南森町駅徒歩5分 土日診療 女医勤務
News新着情報
- 2026.01.09 子どもの「食べ方のクセ」、気になっていませんか?
- 2025.12.27 「食べる機能」の発達について
現在の予約状況
Case 当院の症例
- 子どもの症例
- 大人の症例
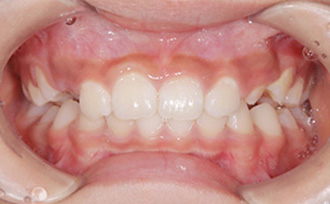
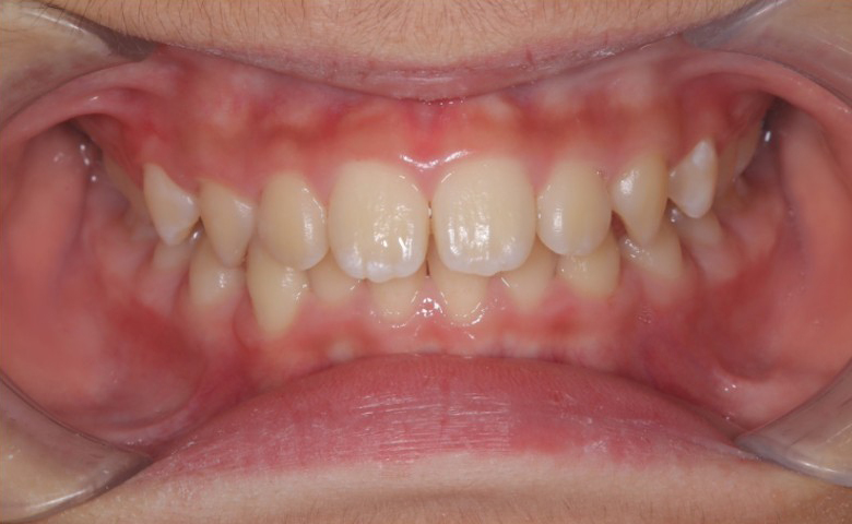
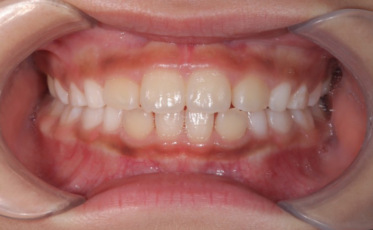
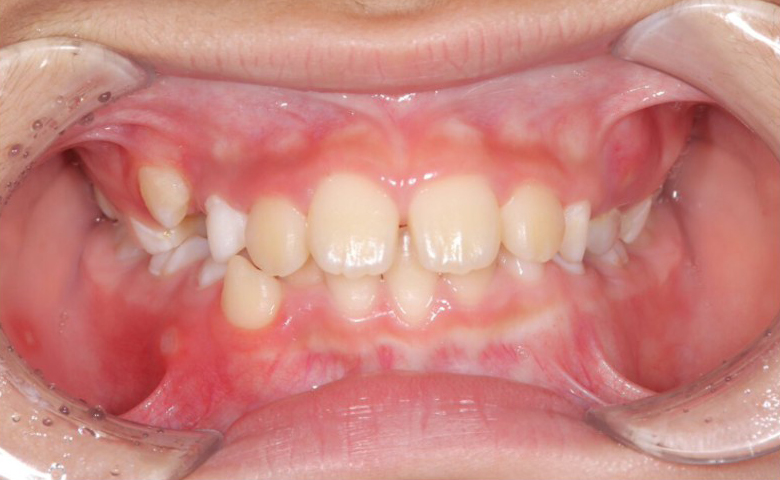
受け口が気になる症例
- 主訴・治療内容
- 受け口が気になる
筋機能訓練とマイオブレース装着
- 治療期間
- 1年半~2年
- 費用
- 55万(税込)
- 治療のリスク・副作用
- ・1期矯正で改善しない場合は2期矯正の可能性があります。
・マイオブレースでは決められた装置期間を守っていただく必要があります。装着時間が短すぎると十分な効果が発揮がされませんのでご注意ください。
詳しい症例情報をみる
歯並びのがたつきの症例
- 主訴・治療内容
- 歯並びのがたつき
筋機能訓練とマイオブレース装着
- 治療期間
- 1年半~2年
- 費用
- 55万(税込)
- 治療のリスク・副作用
- ・1期矯正で改善しない場合は2期矯正の可能性があります。
・マイオブレースでは決められた装置期間を守っていただく必要があります。装着時間が短すぎると十分な効果が発揮がされませんのでご注意ください。
詳しい症例情報をみる
前歯のがたつきの症例
- 主訴・治療内容
- 前歯のがたつき
筋機能訓練とマイオブレース装着
- 治療期間
- 1年半~2年
- 費用
- 55万(税込)
- 治療のリスク・副作用
- ・1期矯正で改善しない場合は2期矯正の可能性があります。
・マイオブレースでは決められた装置期間を守っていただく必要があります。装着時間が短すぎると十分な効果が発揮がされませんのでご注意ください。
詳しい症例情報をみる
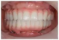
セラミックインレーの症例
- 主訴・治療内容
- 虫歯
セラミックインレー
- 治療期間
- 2ヶ月半
- 費用
- セラミックインレー77,000円×1本=77,000円(税込)
- 治療のリスク・副作用
- ・咬む力が強い場合は割れることがあります。
・神経を残して治療をするためまれに痛みが出る場合があります。
詳しい症例情報をみる
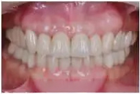
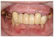
セラミッククラウンの症例
- 主訴・治療内容
- 前歯が気になる
セラミッククラウン
- 治療期間
- 3ヶ月
- 費用
- セラミッククラウン198,000円×1本=198,000円(税込)
- 治療のリスク・副作用
- ・咬む力が強い場合は割れることがあります。
・神経を残して治療をするためまれに痛みが出る場合があります。
詳しい症例情報をみる
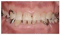
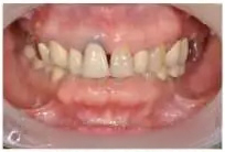
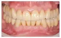
インプラント・セラミッククラウンの症例
- 主訴
- インプラント・セラミッククラウン
- 治療期間
- 2年・63回
- 費用
- インプラント×5本 及び、全顎的なセラミック治療×11本 5,081,750円(税込)
- 治療のリスク・副作用
- ・インプラント体を埋入するあごの骨の近くには、歯根をはじめ、神経や血管、鼻腔や上顎洞などがあり、手術の際にこれらを傷つけてしまう可能性があります。その結果、出血、知覚鈍麻、感染などが生じる場合があります。
・手術後に痛みが出たり、浮腫(顔の腫れ)、皮下出血(アザ)、鼻血、感染などの症状が生じる可能性(術後合併症の可能性)があります。
・まれに感染が生じたり、骨との結合がうまくいかないことがあります。
・手術後に隣の歯の歯肉が下がる可能性があり、審美性を保つためには被せ物のやり直しが必要な場合があります。
・咬む力が強い場合は割れることがあります。
・神経を残して治療をするためまれに痛みが出る場合があります。
詳しい症例情報をみる

△…日曜不定休休診日:木曜・祝日※受付時間:診療時間終了の30分前まで
Concept
お子様とご家族の
笑顔を大切にお口の健康を
一緒に守る
歯科医院
南森町駅徒歩5分の「南森町カツベ・こども矯正歯科」は、「一緒に守る、一生健康な歯を。」をコンセプトにしています。歯の健康を、私たちと二人三脚で守っていきましょう。お子様・親御様はもちろん、近隣で働くビジネスマンの方もお気軽にお越しください。

歯並びを乱す悪い癖や習慣を改善するマイオブレース治療 Myobrace

お子様のこんな
癖や習慣は
当院にご相談ください
歯並びが
気になる
猫背など
姿勢が悪い
口をぽかんと
開けている
いびきをかいて
寝ている
Mouthpiece
Training
マウスピース と トレーニング を
活用した
負担の少ない矯正治療をご提供します
当院では、小児用マウスピース「マイオブレース」と筋機能トレーニングを組み合わせて、お口の癖の改善とあごの健やかな成長を促します。抜歯やワイヤーを使用せずに歯並びを整えて口腔機能を向上させるため、お子様にとって負担の少ない矯正治療です。
笑顔で通っていただくための
5つの特長
南森町の歯医者「南森町カツベ・こども矯正歯科」は、家族みんなで気軽に通える環境を整えています。小さなお子様連れの方も安心してお越しください。
Feature01
保育士による
託児サービスあり!
家族で通いやすい
ファミリーサポート
個室診療室やキッズルームを完備し、お子様から親御様までご家族みんなで通いやすい環境を整えています。
Feature02

楽しく学べる
アクティビティルームを完備
マイオブレース治療のためのアクティビティルームを完備しています。専用ルームで楽しみながら集中的に取り組みやすい環境です。
Feature03

お子様の将来を見据えた
「むし歯予防」
乳歯から永久歯まで、将来を見据えた早期むし歯予防をサポートします。早い段階から予防歯科を始めることで、乳歯だけでなく永久歯のむし歯リスクを抑えやすくなります。
Feature04

一人ひとりの患者様に向き合う
丁寧な説明
患者様に寄り添ってお悩みをじっくり伺い、一人ひとりに合った治療法について丁寧にご提案・ご説明します。
Feature05
転勤や単身赴任の方も
お気軽にご相談ください
ビジネスパーソンなど大人も
安心して治療を受けられる診療体制
南森町近隣で働くビジネスパーソンや単身赴任の方など、大人の方もお気軽にご相談ください。
Doctor お子様から大人の方までお悩みの根本解決を考えた治療を提供します

院長 森山 善行
当院は、一人ひとりの症状を見極め、生活背景まで把握したうえで、根本の原因にアプローチした治療をご提供しています。患者様に寄り添って丁寧にご説明することで、安心して治療を受けられる環境づくりに努めています。
- 経歴
-
- 岡山大学卒業
- 日本顎咬合学会 認定医
- GPO会員(矯正)
- 岡山大学歯科臨床研修修了
- 大阪SJCD会員(咬み合わせ・被せ物)
News お知らせ・ブログ
- すべて
- お知らせ
- ブログ
- 症例
- ブログ 2026.01.09 子どもの「食べ方のクセ」、気になっていませんか?
- ブログ 2025.12.27 「食べる機能」の発達について
- ブログ 2025.12.12 マウスピース矯正とは?仕組みとメリット・デメリットを分かりやすく解説
- ブログ 2025.12.05 子どもが歯医者さんを好きになるために。日常のスキンシップが大切です
- ブログ 2025.10.29 3兄弟そろってニコニコ定期検診。歯医者さんって、こんなに楽しい!
- ブログ 2025.10.23 かまぼこと歯型の意外な関係?歯医者さんで使う材料のお話
- ブログ 2025.09.25 歯医者で働く管理栄養士の役割とは?子どもの虫歯予防と食生活サポート
- ブログ 2025.09.18 噛むと若返るって本当?脳の活性化・唾液分泌・健康効果を歯科医師が解説
- ブログ 2025.08.01 歯医者の麻酔が怖い…😢そんなあなたへ注射の痛みをやわらげる工夫をご紹介✨
- ブログ 2025.07.29 子どもの出っ歯や口呼吸が気になる?痛くない“マイオブレース矯正”とは🦷🌷
- ブログ 2025.07.23 ❝口臭の9割❞は口の中に原因がある⁉️気になる口臭の原因と自宅でできる対策🏡
- ブログ 2025.07.16 風邪を引くと歯が痛くなる⁉️その原因とは…🧐
- ブログ 2025.07.08 DH就活フェス大阪に出展します🪥✨
- ブログ 2025.07.02 ✨虫歯ゼロ生活🦷の第一歩❗️今日からできる予防習慣まとめ🪥
- ブログ 2025.06.25 日本が誇るスーパーフード✨海藻は栄養と虫歯予防に効果アリ‼️🌊
- ブログ 2025.06.17 夏は虫歯が増える季節😨⁉️アイスクリームの食べ始め時期と虫歯予防のポイント🍦
- ブログ 2025.06.13 虫歯・歯周病予防にプロがオススメ❗️✨+αケア「マウスウォッシュ」とは ⁉️
- ブログ 2025.06.05 こどもの歯磨き、いつからどう始める?🪥楽しく続けるコツをご紹介🌈✨
- ブログ 2025.06.02 ❝歯周病になると糖尿病の治療が難しくなる❞話は本当⁉️🩺
- ブログ 2025.05.29 【木曜開催】勝部院長直接指導による支台歯形成実習を開催します✨
- ブログ 2025.05.26 実は歯も第二の心臓⁉️🦷🫀“噛む力”のスゴイ影響✨とは?
- ブログ 2025.04.25 最初に食べるが吉⁉️リンゴと歯のおいしい関係🍎
- お知らせ 2025.04.25 ✨矯正トレーニング無料体験会✨を開催中🦒🌷🐞
- お知らせ 2025.01.20 ✨矯正トレーニング無料体験会✨を開催中
- お知らせ 2024.12.24 年末年始の休診日:2024年12月29日 – 2025年1月3日
- お知らせ 2024.10.10 管理栄養士による離乳食教室(10月)
- お知らせ 2024.08.26 管理栄養士による離乳食教室(9月)
- お知らせ 2024.08.08 夏季休診日のお知らせ
- お知らせ 2024.07.31 管理栄養士による離乳食教室(8月)
- お知らせ 2024.07.20 【無料】Zoomで小児矯正相談
- ブログ 2024.07.08 FM大阪の人気番組”赤maru”で歯に関するお話をしました!
- お知らせ 2024.07.01 管理栄養士による離乳食教室(7月)
- ブログ 2024.06.07 歯科健診(どんぐり保育園様)
- ブログ 2024.06.03 歯を「抜かれる」ことの原因は?
- ブログ 2024.05.31 「よく噛む」ことをアンチエイジングに
- ブログ 2024.05.29 健康寿命は歯ぐきが要!正しい歯周病知識を持とう
- お知らせ 2024.05.28 管理栄養士による離乳食教室(6月)
- ブログ 2024.05.28 「歯周病」は感染症です
- ブログ 2024.05.27 朝一番の歯磨きは朝食前に
- ブログ 2024.05.25 歯の磨きすぎは逆効果!
- ブログ 2024.05.24 よく噛むとよく眠れるって本当?
- ブログ 2024.05.22 知っているようで知らない口内炎
- ブログ 2024.05.21 正しい歯磨き法【朝の磨き方・夜の磨き方】
- ブログ 2024.05.20 乳歯の隙間は問題なし!
- ブログ 2024.05.17 歯と周囲の環境に作用するフッ化物
- ブログ 2024.05.15 子どもの口腔習癖について
- ブログ 2024.05.14 口呼吸についてのQ&A
- ブログ 2024.05.13 歯磨き嫌がる子 これでニコニコ
- ブログ 2024.05.11 子どもの歯みがきの仕方
- ブログ 2024.05.10 乳酸菌はお口の健康にも好影響
- ブログ 2024.05.08 お口の中の「バランス」
- ブログ 2024.05.07 正しいかみ合わせ
- ブログ 2024.04.27 子どもの歯みがき相談室
- お知らせ 2024.04.26 管理栄養士による離乳食教室(5月)
- お知らせ 2024.04.26 ゴールデンウイーク:休診のお知らせ
- ブログ 2024.04.23 食いしばり&歯ぎしりに注意!
- ブログ 2024.04.22 むし歯になりにくい強い歯へ
- ブログ 2024.04.20 フッ素入りの製品を使おう
- ブログ 2024.04.19 むし歯のリスク早わかりガイダンス
- ブログ 2024.04.17 なぜ永久歯に生えかわる?
- ブログ 2024.04.16 幼児期のむし歯を防ぐ「食習慣」
- ブログ 2024.04.15 指しゃぶりって悪いことなの?
- ブログ 2024.04.13 幼児期が肝心!歯並びに影響する「生活習慣」
- ブログ 2024.04.12 キシリトールってスゴイ!
- ブログ 2024.04.10 治療済みでも虫歯が再発する理由は?
- ブログ 2024.04.09 こんなクセはありませんか?
- ブログ 2024.04.08 かむ力にも影響大!食事中の姿勢
- ブログ 2024.04.06 日頃の姿勢による“あごの形”の変化
- ブログ 2024.04.05 永久歯の要“6才臼歯”とは?
- ブログ 2024.04.03 かわいい子どもの歯を守るために!
- ブログ 2024.04.01 乳歯の管理は家族とかかりつけ医の二人三脚で
- ブログ 2024.03.30 子どものむし歯を防ぐには?
- お知らせ 2024.03.29 管理栄養士による離乳食教室(4月)
- ブログ 2024.03.29 乳歯の“むし歯”は放置NG!
- ブログ 2024.03.27 大切な歯を一生守るために
- ブログ 2024.03.26 削って詰めての繰り返しはお終いに
- ブログ 2024.03.25 ついやってしまう!お口の習慣による悪影響【歯ぎしり】
- ブログ 2024.03.22 ついやってしまう!お口の習慣による悪影響【口呼吸】
- ブログ 2024.03.05 あごの形をゆがめるクセ
- ブログ 2024.03.01 歯並びのよい子に育てるために!
- お知らせ 2024.02.24 管理栄養士による離乳食教室(3月)
- お知らせ 2024.02.24 マイオブレース体験会のお知らせ(3月)
- ブログ 2024.02.24 【むし歯予防】4つのキーワード【定期健診】
- ブログ 2024.02.19 【むし歯予防】4つのキーワード【正しい食生活】
- ブログ 2024.02.16 【むし歯予防】4つのキーワード【フッ素+キシリトール】
- ブログ 2024.02.13 【むし歯予防】4つのキーワード【ハミガキ】
- ブログ 2024.02.06 歯を失う原因のトップ「歯周病」
- お知らせ 2024.01.29 管理栄養士による離乳食教室(2月)
- ブログ 2024.01.22 歯周病と全身とのかかわり【関連する5つの症状】
- ブログ 2024.01.20 意外と多い?子供の歯周病に注意!
- ブログ 2024.01.16 なぜ指しゃぶりが歯並びを悪くする?
- お知らせ 2023.12.27 年末年始:休診のお知らせ
- お知らせ 2023.12.23 管理栄養士による離乳食教室(1月)
- お知らせ 2023.12.05 マイオブレース体験会のお知らせ(12月)
- ブログ 2023.11.14 管理栄養士の尾野です。
- ブログ 2023.11.11 オリジナル絵本ができました
- お知らせ 2023.11.04 むし歯バイバイ教室のご案内(11月)
- お知らせ 2023.10.28 管理栄養士による離乳食教室(11月)
- お知らせ 2023.10.18 管理栄養士による離乳食教室(10月)
- お知らせ 2023.10.17 むし歯バイバイ教室のご案内(10月)
- ブログ 2023.10.14 口腔機能発達不全症③:「呼吸」機能不全
- ブログ 2023.10.13 口腔機能発達不全症②:「話す」機能不全
- ブログ 2023.10.11 口腔機能発達不全症①:「食べる」機能不全
- ブログ 2023.10.03 小児における「口腔機能発達不全」とは?
- ブログ 2023.09.29 管理栄養士による離乳食教室(10月)
- ブログ 2023.09.16 木曜日も診療を行います
- ブログ 2023.09.16 むし歯バイバイ教室のご案内(10月)
- ブログ 2023.09.16 マイオブレース体験会のお知らせ(10月)
- ブログ 2023.08.22 管理栄養士による離乳食教室(9月)
- ブログ 2023.07.31 マイオブレース体験会のお知らせ(8月)
- ブログ 2023.07.28 むし歯バイバイ教室・離乳食教室のご案内(8月)
- ブログ 2023.07.15 未経験OK!正社員・アルバイト募集中♪
- ブログ 2023.06.27 管理栄養士による離乳食教室(7月)
- ブログ 2023.05.26 管理栄養士による離乳食教室(6月)
- ブログ 2023.05.17 離乳食教室の様子(3月・4月)
- ブログ 2023.05.09 管理栄養士による離乳食教室(5月)
- ブログ 2023.04.28 GW 休診のお知らせ
- ブログ 2023.04.14 1周年記念の内覧会&相談会
- ブログ 2023.04.01 管理栄養士による離乳食教室のご案内(4月・5月)
- ブログ 2023.03.17 ビデオ通話アプリ『Zoom』での無料相談スタート
- ブログ 2023.03.10 『年齢不問』インビザラインモニター募集中♪
- ブログ 2023.03.04 2023年3月開催 管理栄養士による離乳食教室のご案内
- ブログ 2023.02.04 2023年2月開催 こども矯正説明会のご案内
- ブログ 2023.01.10 管理栄養士による離乳食教室のご案内
- ブログ 2023.01.10 あけましておめでとうございます
- ブログ 2022.12.21 年末年始の診療について
- ブログ 2022.12.17 訪問歯科のご案内
- ブログ 2022.12.07 マイオブレース特設サイトができました♪
- ブログ 2022.11.30 2023年1月より日曜診療を開始します!
- ブログ 2022.11.19 チェアを3台増設いたしました♪
- ブログ 2022.11.16 当院のインプラント治療について
- ブログ 2022.11.14 クリスマスイベント開催中♪
- ブログ 2022.10.05 ハロウィンイベント開催中♪
- ブログ 2022.10.03 ご紹介キャンペーン実施中!
- ブログ 2022.09.28 だ液検査でお口の健康チェック
- ブログ 2022.09.16 子キリンの名前が決まりました♪
- ブログ 2022.09.13 こども矯正 説明会(10月開催)
- ブログ 2022.09.07 オリジナルトートバッグ完成!
- ブログ 2022.08.26 こども矯正説明会を行います。
- ブログ 2022.08.17 アクティビティルームとは?
- ブログ 2022.07.29 夏季休暇のお知らせ
- ブログ 2022.07.02 第3回 無料歯医者体験会を開催いたします!
- ブログ 2022.06.28 大人の方も診療いたします!
- ブログ 2022.06.25 キッズスペースで楽しくお待ちいただけます♪
- ブログ 2022.06.18 マイオブレースで見込める改善
- ブログ 2022.06.13 マイブレースをオススメする理由
- ブログ 2022.06.10 お子さまの気になる症状とは?
- ブログ 2022.06.07 第2回目の歯医者体験会を開催中です!
- ブログ 2022.06.03 子どもの口腔内に優しい矯正
- ブログ 2022.06.02 歯科医師の技術レベル向上
- ブログ 2022.05.30 マイオブレースの予防矯正
- ブログ 2022.05.27 当院が新聞の一面に掲載されました!
- ブログ 2022.05.24 第2回 無料歯医者体験会開催します!
- ブログ 2022.05.24 ご存じですか?歯と口の健康習慣
- ブログ 2022.05.14 インスタグラム・Tiktokをぜひチェック下さい!
- ブログ 2022.05.12 子どもの虫歯予防に最適な『シーラント』
- ブログ 2022.05.10 子ども歯医者体験の様子をレポートします!
- ブログ 2022.05.07 南森町の歯医者で歯美人を目指す
- ブログ 2022.05.06 500円券を使えるお店 & 歯医者体験会の様子
- ブログ 2022.04.26 内覧会で無料歯医者体験会をやります!
- ブログ 2022.04.22 マイオブレース矯正始めました!1ヶ月め
- ブログ 2022.04.20 3つのクラブで子どもを笑顔にする南森町の歯医者
- ブログ 2022.04.19 フッ素を使って虫歯のない子どもに育てましょう!
- ブログ 2022.04.18 子どもに虫歯をつくらないためには3歳までが一番重要!その必要なたったひとつの習慣とは?
- ブログ 2022.04.17 子どもの矯正にアクティビティが必要な理由
- ブログ 2022.04.16 5月6日(金)~5月9日(月)に内覧会イベントを開催します
- ブログ 2022.04.13 子どもの矯正は8歳までに始めると良い理由
- ブログ 2022.04.06 大阪歯科大学小児歯科講座元教授の講義を受けました
- ブログ 2022.04.04 南森町の歯医者|オープンしました!
- ブログ 2022.03.11 矯正の勉強会で賞状をもらいました
- ブログ 2022.03.01 南森町カツベ・こども矯正歯科が4月1日にオープンします
- お知らせ 2025.04.25 ✨矯正トレーニング無料体験会✨を開催中🦒🌷🐞
- お知らせ 2025.01.20 ✨矯正トレーニング無料体験会✨を開催中
- お知らせ 2024.12.24 年末年始の休診日:2024年12月29日 – 2025年1月3日
- お知らせ 2024.10.10 管理栄養士による離乳食教室(10月)
- お知らせ 2024.08.26 管理栄養士による離乳食教室(9月)
- お知らせ 2024.08.08 夏季休診日のお知らせ
- お知らせ 2024.07.31 管理栄養士による離乳食教室(8月)
- お知らせ 2024.07.20 【無料】Zoomで小児矯正相談
- お知らせ 2024.07.01 管理栄養士による離乳食教室(7月)
- お知らせ 2024.05.28 管理栄養士による離乳食教室(6月)
- お知らせ 2024.04.26 管理栄養士による離乳食教室(5月)
- お知らせ 2024.04.26 ゴールデンウイーク:休診のお知らせ
- お知らせ 2024.03.29 管理栄養士による離乳食教室(4月)
- お知らせ 2024.02.24 管理栄養士による離乳食教室(3月)
- お知らせ 2024.02.24 マイオブレース体験会のお知らせ(3月)
- お知らせ 2024.01.29 管理栄養士による離乳食教室(2月)
- お知らせ 2023.12.27 年末年始:休診のお知らせ
- お知らせ 2023.12.23 管理栄養士による離乳食教室(1月)
- お知らせ 2023.12.05 マイオブレース体験会のお知らせ(12月)
- お知らせ 2023.11.04 むし歯バイバイ教室のご案内(11月)
- お知らせ 2023.10.28 管理栄養士による離乳食教室(11月)
- お知らせ 2023.10.18 管理栄養士による離乳食教室(10月)
- お知らせ 2023.10.17 むし歯バイバイ教室のご案内(10月)
- ブログ 2026.01.09 子どもの「食べ方のクセ」、気になっていませんか?
- ブログ 2025.12.27 「食べる機能」の発達について
- ブログ 2025.12.12 マウスピース矯正とは?仕組みとメリット・デメリットを分かりやすく解説
- ブログ 2025.12.05 子どもが歯医者さんを好きになるために。日常のスキンシップが大切です
- ブログ 2025.10.29 3兄弟そろってニコニコ定期検診。歯医者さんって、こんなに楽しい!
- ブログ 2025.10.23 かまぼこと歯型の意外な関係?歯医者さんで使う材料のお話
- ブログ 2025.09.25 歯医者で働く管理栄養士の役割とは?子どもの虫歯予防と食生活サポート
- ブログ 2025.09.18 噛むと若返るって本当?脳の活性化・唾液分泌・健康効果を歯科医師が解説
- ブログ 2025.08.01 歯医者の麻酔が怖い…😢そんなあなたへ注射の痛みをやわらげる工夫をご紹介✨
- ブログ 2025.07.29 子どもの出っ歯や口呼吸が気になる?痛くない“マイオブレース矯正”とは🦷🌷
- ブログ 2025.07.23 ❝口臭の9割❞は口の中に原因がある⁉️気になる口臭の原因と自宅でできる対策🏡
- ブログ 2025.07.16 風邪を引くと歯が痛くなる⁉️その原因とは…🧐
- ブログ 2025.07.08 DH就活フェス大阪に出展します🪥✨
- ブログ 2025.07.02 ✨虫歯ゼロ生活🦷の第一歩❗️今日からできる予防習慣まとめ🪥
- ブログ 2025.06.25 日本が誇るスーパーフード✨海藻は栄養と虫歯予防に効果アリ‼️🌊
- ブログ 2025.06.17 夏は虫歯が増える季節😨⁉️アイスクリームの食べ始め時期と虫歯予防のポイント🍦
- ブログ 2025.06.13 虫歯・歯周病予防にプロがオススメ❗️✨+αケア「マウスウォッシュ」とは ⁉️
- ブログ 2025.06.05 こどもの歯磨き、いつからどう始める?🪥楽しく続けるコツをご紹介🌈✨
- ブログ 2025.06.02 ❝歯周病になると糖尿病の治療が難しくなる❞話は本当⁉️🩺
- ブログ 2025.05.29 【木曜開催】勝部院長直接指導による支台歯形成実習を開催します✨
- ブログ 2025.05.26 実は歯も第二の心臓⁉️🦷🫀“噛む力”のスゴイ影響✨とは?
- ブログ 2025.04.25 最初に食べるが吉⁉️リンゴと歯のおいしい関係🍎
- ブログ 2024.07.08 FM大阪の人気番組”赤maru”で歯に関するお話をしました!
- ブログ 2024.06.07 歯科健診(どんぐり保育園様)
- ブログ 2024.06.03 歯を「抜かれる」ことの原因は?
- ブログ 2024.05.31 「よく噛む」ことをアンチエイジングに
- ブログ 2024.05.29 健康寿命は歯ぐきが要!正しい歯周病知識を持とう
- ブログ 2024.05.28 「歯周病」は感染症です
- ブログ 2024.05.27 朝一番の歯磨きは朝食前に
- ブログ 2024.05.25 歯の磨きすぎは逆効果!
- ブログ 2024.05.24 よく噛むとよく眠れるって本当?
- ブログ 2024.05.22 知っているようで知らない口内炎
- ブログ 2024.05.21 正しい歯磨き法【朝の磨き方・夜の磨き方】
- ブログ 2024.05.20 乳歯の隙間は問題なし!
- ブログ 2024.05.17 歯と周囲の環境に作用するフッ化物
- ブログ 2024.05.15 子どもの口腔習癖について
- ブログ 2024.05.14 口呼吸についてのQ&A
- ブログ 2024.05.13 歯磨き嫌がる子 これでニコニコ
- ブログ 2024.05.11 子どもの歯みがきの仕方
- ブログ 2024.05.10 乳酸菌はお口の健康にも好影響
- ブログ 2024.05.08 お口の中の「バランス」
- ブログ 2024.05.07 正しいかみ合わせ
- ブログ 2024.04.27 子どもの歯みがき相談室
- ブログ 2024.04.23 食いしばり&歯ぎしりに注意!
- ブログ 2024.04.22 むし歯になりにくい強い歯へ
- ブログ 2024.04.20 フッ素入りの製品を使おう
- ブログ 2024.04.19 むし歯のリスク早わかりガイダンス
- ブログ 2024.04.17 なぜ永久歯に生えかわる?
- ブログ 2024.04.16 幼児期のむし歯を防ぐ「食習慣」
- ブログ 2024.04.15 指しゃぶりって悪いことなの?
- ブログ 2024.04.13 幼児期が肝心!歯並びに影響する「生活習慣」
- ブログ 2024.04.12 キシリトールってスゴイ!
- ブログ 2024.04.10 治療済みでも虫歯が再発する理由は?
- ブログ 2024.04.09 こんなクセはありませんか?
- ブログ 2024.04.08 かむ力にも影響大!食事中の姿勢
- ブログ 2024.04.06 日頃の姿勢による“あごの形”の変化
- ブログ 2024.04.05 永久歯の要“6才臼歯”とは?
- ブログ 2024.04.03 かわいい子どもの歯を守るために!
- ブログ 2024.04.01 乳歯の管理は家族とかかりつけ医の二人三脚で
- ブログ 2024.03.30 子どものむし歯を防ぐには?
- ブログ 2024.03.29 乳歯の“むし歯”は放置NG!
- ブログ 2024.03.27 大切な歯を一生守るために
- ブログ 2024.03.26 削って詰めての繰り返しはお終いに
- ブログ 2024.03.25 ついやってしまう!お口の習慣による悪影響【歯ぎしり】
- ブログ 2024.03.22 ついやってしまう!お口の習慣による悪影響【口呼吸】
- ブログ 2024.03.05 あごの形をゆがめるクセ
- ブログ 2024.03.01 歯並びのよい子に育てるために!
- ブログ 2024.02.24 【むし歯予防】4つのキーワード【定期健診】
- ブログ 2024.02.19 【むし歯予防】4つのキーワード【正しい食生活】
- ブログ 2024.02.16 【むし歯予防】4つのキーワード【フッ素+キシリトール】
- ブログ 2024.02.13 【むし歯予防】4つのキーワード【ハミガキ】
- ブログ 2024.02.06 歯を失う原因のトップ「歯周病」
- ブログ 2024.01.22 歯周病と全身とのかかわり【関連する5つの症状】
- ブログ 2024.01.20 意外と多い?子供の歯周病に注意!
- ブログ 2024.01.16 なぜ指しゃぶりが歯並びを悪くする?
- ブログ 2023.11.14 管理栄養士の尾野です。
- ブログ 2023.11.11 オリジナル絵本ができました
- ブログ 2023.10.14 口腔機能発達不全症③:「呼吸」機能不全
- ブログ 2023.10.13 口腔機能発達不全症②:「話す」機能不全
- ブログ 2023.10.11 口腔機能発達不全症①:「食べる」機能不全
- ブログ 2023.10.03 小児における「口腔機能発達不全」とは?
- ブログ 2023.09.29 管理栄養士による離乳食教室(10月)
- ブログ 2023.09.16 木曜日も診療を行います
- ブログ 2023.09.16 むし歯バイバイ教室のご案内(10月)
- ブログ 2023.09.16 マイオブレース体験会のお知らせ(10月)
- ブログ 2023.08.22 管理栄養士による離乳食教室(9月)
- ブログ 2023.07.31 マイオブレース体験会のお知らせ(8月)
- ブログ 2023.07.28 むし歯バイバイ教室・離乳食教室のご案内(8月)
- ブログ 2023.07.15 未経験OK!正社員・アルバイト募集中♪
- ブログ 2023.06.27 管理栄養士による離乳食教室(7月)
- ブログ 2023.05.26 管理栄養士による離乳食教室(6月)
- ブログ 2023.05.17 離乳食教室の様子(3月・4月)
- ブログ 2023.05.09 管理栄養士による離乳食教室(5月)
- ブログ 2023.04.28 GW 休診のお知らせ
- ブログ 2023.04.14 1周年記念の内覧会&相談会
- ブログ 2023.04.01 管理栄養士による離乳食教室のご案内(4月・5月)
- ブログ 2023.03.17 ビデオ通話アプリ『Zoom』での無料相談スタート
- ブログ 2023.03.10 『年齢不問』インビザラインモニター募集中♪
- ブログ 2023.03.04 2023年3月開催 管理栄養士による離乳食教室のご案内
- ブログ 2023.02.04 2023年2月開催 こども矯正説明会のご案内
- ブログ 2023.01.10 管理栄養士による離乳食教室のご案内
- ブログ 2023.01.10 あけましておめでとうございます
- ブログ 2022.12.21 年末年始の診療について
- ブログ 2022.12.17 訪問歯科のご案内
- ブログ 2022.12.07 マイオブレース特設サイトができました♪
- ブログ 2022.11.30 2023年1月より日曜診療を開始します!
- ブログ 2022.11.19 チェアを3台増設いたしました♪
- ブログ 2022.11.16 当院のインプラント治療について
- ブログ 2022.11.14 クリスマスイベント開催中♪
- ブログ 2022.10.05 ハロウィンイベント開催中♪
- ブログ 2022.10.03 ご紹介キャンペーン実施中!
- ブログ 2022.09.28 だ液検査でお口の健康チェック
- ブログ 2022.09.16 子キリンの名前が決まりました♪
- ブログ 2022.09.13 こども矯正 説明会(10月開催)
- ブログ 2022.09.07 オリジナルトートバッグ完成!
- ブログ 2022.08.26 こども矯正説明会を行います。
- ブログ 2022.08.17 アクティビティルームとは?
- ブログ 2022.07.29 夏季休暇のお知らせ
- ブログ 2022.07.02 第3回 無料歯医者体験会を開催いたします!
- ブログ 2022.06.28 大人の方も診療いたします!
- ブログ 2022.06.25 キッズスペースで楽しくお待ちいただけます♪
- ブログ 2022.06.18 マイオブレースで見込める改善
- ブログ 2022.06.13 マイブレースをオススメする理由
- ブログ 2022.06.10 お子さまの気になる症状とは?
- ブログ 2022.06.07 第2回目の歯医者体験会を開催中です!
- ブログ 2022.06.03 子どもの口腔内に優しい矯正
- ブログ 2022.06.02 歯科医師の技術レベル向上
- ブログ 2022.05.30 マイオブレースの予防矯正
- ブログ 2022.05.27 当院が新聞の一面に掲載されました!
- ブログ 2022.05.24 第2回 無料歯医者体験会開催します!
- ブログ 2022.05.24 ご存じですか?歯と口の健康習慣
- ブログ 2022.05.14 インスタグラム・Tiktokをぜひチェック下さい!
- ブログ 2022.05.12 子どもの虫歯予防に最適な『シーラント』
- ブログ 2022.05.10 子ども歯医者体験の様子をレポートします!
- ブログ 2022.05.07 南森町の歯医者で歯美人を目指す
- ブログ 2022.05.06 500円券を使えるお店 & 歯医者体験会の様子
- ブログ 2022.04.26 内覧会で無料歯医者体験会をやります!
- ブログ 2022.04.22 マイオブレース矯正始めました!1ヶ月め
- ブログ 2022.04.20 3つのクラブで子どもを笑顔にする南森町の歯医者
- ブログ 2022.04.19 フッ素を使って虫歯のない子どもに育てましょう!
- ブログ 2022.04.18 子どもに虫歯をつくらないためには3歳までが一番重要!その必要なたったひとつの習慣とは?
- ブログ 2022.04.17 子どもの矯正にアクティビティが必要な理由
- ブログ 2022.04.16 5月6日(金)~5月9日(月)に内覧会イベントを開催します
- ブログ 2022.04.13 子どもの矯正は8歳までに始めると良い理由
- ブログ 2022.04.06 大阪歯科大学小児歯科講座元教授の講義を受けました
- ブログ 2022.04.04 南森町の歯医者|オープンしました!
- ブログ 2022.03.11 矯正の勉強会で賞状をもらいました
- ブログ 2022.03.01 南森町カツベ・こども矯正歯科が4月1日にオープンします










